-
-
-
Tổng tiền thanh toán:
-
Chẩn đoán nguyên nhân gây viêm phổi
Đăng bởi: Quản Trị Web
20/03/2024
Bệnh viêm phổi có thể xuất hiện ở rất nhiều đối tượng. Hầu hết, khi bị nhiễm bệnh chỉ sau một vài ngày, cơ thể sẽ xuất hiện những dấu hiệu đặc trưng. Nếu không được điều trị kịp thời, người bệnh dần sẽ trở nên khó thở và nguy cơ cao dẫn tới tử vong. Vì vậy, việc chẩn đoán viêm phổi là phương pháp vô cùng quan trọng giúp điều trị và ngăn ngừa biến chứng của bệnh.

I. Viêm phổi là gì?
*Viêm phổi được định nghĩa là sự viêm và đông đặc nhu mô phổi do tác nhân nhiễm trùng như vi khuẩn, siêu vi, ký sinh trùng, nấm. Có 2 dạng viêm phổi phổ biến, đó là:
- Viêm phổi xuất hiện ngoài bệnh viện: Đây là tình trạng viêm phổi mắc phải ngoài cộng đồng (CAP: Community Acquired Pneumonia).
- Viêm phổi xuất hiện từ giờ thứ 72 sau nhập viện: Được gọi là viêm phổi mắc phải trong bệnh viện (HAP: Hospital Acquired Pneumonia) hay viêm phổi bệnh viện.
II. Chẩn đoán viêm phổi
1. Chẩn đoán viêm phổi dựa trên triệu chứng cơ năng
*Triệu chứng tại phổi gợi ý viêm phổi bao gồm:
- Sốt: Thường là sốt cao có lạnh run gợi ý nhiễm vi khuẩn.
- Đau ngực: Thường có tính chất đau màng phổi gợi ý viêm màng phổi đi kèm.
- Ho: Có thể là khan hay ho đờm (nhầy hay mủ), đôi khi đờm màu rỉ sét (do phế cầu) và lẫn máu, mùi có thể hôi (do vi khuẩn kỵ khí).
*Triệu chứng ngoài phổi bao gồm các triệu chứng:
- Nhức đầu.
- Đau cơ, đau khớp.
- Đau họng.
- Buồn nôn, nôn mửa, đau bụng, tiêu chảy.
- Bệnh nhân già có ít triệu chứng hơn bệnh nhân trẻ.
*Viêm phổi điển hình và viêm phổi không điển hình:
- Viêm phổi khởi phát đột ngột với các triệu chứng tại phổi rõ ràng được gọi là “viêm phổi điển hình”, gợi ý tác nhân vi khuẩn sinh mủ như phế cầu, tụ cầu, H. influenza.
- Viêm phổi khởi phát âm thầm với các triệu chứng tại phổi không rõ ràng (sốt nhẹ, ho khan hay ho đờm nhầy) nhưng có triệu chứng ngoài phổi rõ hơn được gọi là “viêm phổi không điển hình”, gợi ý tác nhân bán vi khuẩn như Mycoplasma pneumoniae, Legionella pneumophila, Chlamydia pneumoniae.
- Nhiều nghiên cứu uy tín cho thấy không thể hoàn toàn tin tưởng vào phân biệt trên lâm sàng là viêm phổi điển hình hay không điển hình để tiên đoán tác nhân gây bệnh. Song điều đó không có nghĩa là việc hỏi bệnh sử kỹ lưỡng và thăm khám lâm sàng cẩn thận không có ích gì trong chẩn đoán viêm phổi.
2. Chẩn đoán viêm phổi dựa vào triệu chứng thực thể
*Sốt:
- Thường hiện diện.
Tuy nhiên, một số bệnh nhân biểu hiện hạ thân nhiệt (dấu hiệu tiên lượng nặng).
20% bệnh nhân viêm phổi không sốt vào thời điểm nhập viện.
Triệu chứng thực thể khám phổi gợi ý tổn thương phế nang trong viêm phổi chỉ hiện diện trong 20% trường hợp bao gồm:
- Ran nổ nghe được ở vùng phổi bị tổn thương.
Hội chứng đông đặc: gõ đục, rung thanh tăng, rì rào phế nang giảm.
Tiếng ngực thầm, tiếng vang phế quản.
Tiếng cọ màng phổi nghe được trong 10% trường hợp gợi ý tổn thương viêm màng phổi đi kèm.
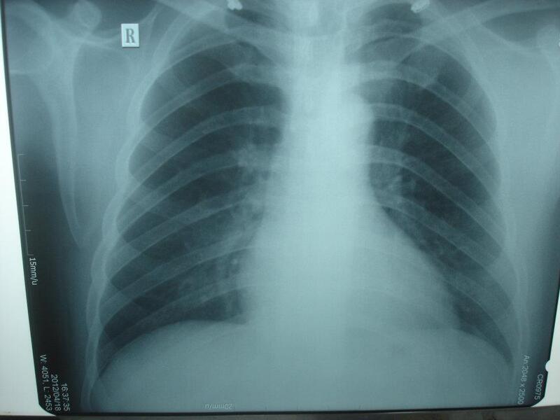
3. Xét nghiệm chẩn đoán viêm phổi bằng hình ảnh X quang lồng ngực
Khi bệnh cảnh lâm sàng nghi ngờ viêm phổi, bệnh nhân cần được chụp X quang lồng ngực. Triệu chứng “đám mờ” trên X quang lồng ngực được xem là “tiêu chuẩn vàng” cho chẩn đoán viêm phổi.
Tuy nhiên cần lưu ý hai tình huống sau đây:
Có “đám mờ” nhưng không phải viêm phổi (dương giả) gặp trong các trường hợp: Viêm phổi do các bệnh lý khác không nhiễm trùng (viêm mạch máu, phản ứng thuốc); bệnh phổi mô kẽ; phù phổi trong suy tim ứ huyết, hẹp hai lá; nhồi máu phổi; xuất huyết phế nang; xẹp phổi; ung thư phế quản.
Không có “đám mờ” nhưng vẫn là viêm phổi (âm giả) gặp trong các trường hợp: Mất nước; giảm bạch cầu đa nhân trung tính; bệnh diễn tiến vào giai đoạn sớm, chưa kịp xuất hiện triệu chứng X quang; viêm phổi do P. carinii trên bệnh nhân suy giảm miễn dịch (AIDS).
III. Chẩn đoán nguyên nhân gây viêm phổi
*Chẩn đoán nguyên nhân viêm phổi có được khi phân lập ra tác nhân gây bệnh từ cấy bệnh phẩm, tuy nhiên không phải loại bệnh phẩm nào cũng đáng tin cậy như nhau:
- Chẩn đoán nguyên nhân “chắc chắn” khi cấy máu dương tính; cấy dịch, mủ của phổi/ màng phổi chọc hút xuyên thành ngực dương tính; hiện diện P.carinii hoặc M.tuberculosis trong đàm, hay dịch rửa phế quản phế nang lấy qua nội soi phế quản; phân lập được Legionella pneumophila; hiệu giá kháng thể kháng M.pneumoniae, C.pneumoniae, L.pneumophila trong máu tăng gấp ≥ 4 lần qua hai lần thử; kháng nguyên của S.pneumoniae (nước tiểu, máu), L.pneumophila (nước tiểu) dương tính.
- Chẩn đoán nguyên nhân có “khả năng” khi: Viêm phổi phân lập được khi cấy đàm là viêm phổi gây bệnh thường gặp, phát triển mạnh, kết quả soi đàm phù hợp; viêm phổi phân lập được khi cấy đàm không phải là loại viêm phổi gây bệnh thường gặp, phát triển yếu, kết quả soi đàm phù hợp.
IV. Chẩn đoán độ nặng viêm phổi
1. Chẩn đoán viêm phổi cần phải nằm viện
*Viêm phổi cần phải nhập viện điều trị khi có một trong các tiêu chuẩn sau:
- Bệnh nhân > 65 tuổi.
- Có bệnh nặng khác đi kèm (ví dụ như bệnh thận, tim, phổi, đái tháo đường, bệnh lý ác tính, bệnh làm suy giảm miễn dịch).
- Bạch cầu máu < 5000/ mm3 với điều kiện không do một nguyên nhân đã biết khác.
- Nguyên nhân viêm phổi nghi ngờ do tụ cầu, trực khuẩn gram âm, vi khuẩn kỵ khí.
- Có biến chứng sinh mủ do viêm phổi (mủ màng phổi, viêm khớp, viêm màng não, viêm nội tâm mạc).
- Thất bại điều trị ngoại trú.
- Bệnh nhân không uống được.
- Thở nhanh (>30 lần/phút), tim nhanh (>140 lần/phút), huyết áp hạ (HA MAX < 90 mmHg, giảm oxy máu (PaO2 < 60 mmHg), thay đổi tri giác cấp tính.
2. Chẩn đoán viêm phổi nặng
*Viêm phổi được gọi là nặng khi có ít nhất một trong các tiêu chuẩn sau:
- Tần số thở > 35 lần/phút.
- Giảm oxy máu được định nghĩa là: Chỉ số PaO2/ FiO2 < 250 hoặc cần thở oxy có FiO2 > 35% để duy trì SaO2 > 90%
- Thở máy.
- X quang lồng ngực cho thấy viêm phổi xấu đi nhanh được định nghĩa là tổn thương mờ ở phế trường tăng thêm 50% sau 36 giờ.
- Choáng.
- Thiểu niệu hoặc suy thận cấp.
- Định nghĩa này áp dụng cho cả viêm phổi cộng đồng và viêm phổi bệnh viện.
3. Tiên lượng viêm phổi diễn tiến nặng có thể tử vong
*Các yếu tố tiên lượng viêm phổi sẽ diễn biến nặng, có thể tử vong:
- Cơ địa bệnh nhân: Tuổi > 65; có bệnh phối hợp có thể làm nặng thêm viêm phổi, đặc biệt là suy thận mạn, bệnh cơ tim thiếu máu cục bộ, suy tim ứ huyết, COPD nặng, bệnh xơ nang, hít sặc tái đi tái lại có bệnh ác tính cùng tồn tại.
- Suy giảm miễn dịch: Sau cắt lách nghiện rượu đang dùng thuốc ức chế miễn dịch, hội chứng suy giảm miễn dịch mắc phải (AIDS).
- Triệu chứng lâm sàng: Rối loạn tri giác; tần số thở > 30 lần/phút; huyết áp MAX < 90 mmHg, HA MIN < 60 mmHg; hạ thân nhiệt.
- Triệu chứng cận lâm sàng: Triệu chứng huyết học như giảm bạch cầu < 3000/mm3 hoặc tăng > 30.000/mm3; Hemoglobin máu < 0,9 g%. Triệu chứng sinh hoá máu như creatinin máu > 1,5 mg% hoặc BUN > 20 mg%; PaO2 < 60 mmHg hoặc PaCO2 > 48 mmHg với oxy khí trời; Albumin máu < 30 g/lít. Triệu chứng vi sinh học bao gồm viêm phổi do P. aeruginosae hoặc S. aureus; viêm phổi cấy máu dương tính. Triệu chứng X quang có tổn thương ≥ 2 thùy phổi; tràn dịch màng phổi cạnh viêm phổi lượng nhiều, biến chứng abces hóa, diễn tiến X quang phổi xấu đi nhanh. Cần phải thở máy, hội chứng nguy ngập hô hấp cấp tính (ARDS) và nhiễm trùng huyết.
Giới thiệu đến bạn: BL Care Max Tăng cường sức khỏe & bảo vệ phổi toàn diện
BLCare Max là gì?
BLCare Max là viên uống bảo vệ sức khỏe hô hấp, bảo vệ phổi trước các tác nhân gây hại và phục hồi chức năng phổi bị hư tổn, giúp phòng chống và hỗ trợ điều trị ung thư phồi và các bệnh lý về phổi như Viêm phổi, Viêm phế quản, Bệnh phổi tắc nghẽn mạn tính (COPD), Viêm màng phổi (viêm phế mạc), Thuyên tắc phổi, Phù phổi, Xơ hóa phổi, Bệnh bụi phổi, Hội chứng suy hô hấp, Bệnh u hạt (Sarcoidosis), Hen phế quản ...

BLCare Max có tác dụng gì ?
- Tăng cường miễn dịch, chống oxy hóa, bảo vệ gốc tự do cơ thể
- Phòng chống giảm nguy cơ ung thư phổi, giúp bảo vệ phổi, phục hồi tế bào phổi bị tổn thương, hỗ trợ điều trị các bệnh lý về phổi như Viêm phổi, Viêm phế quản, Bệnh phổi tắc nghẽn mạn tính (COPD), Viêm màng phổi (viêm phế mạc), Thuyên tắc phổi, Phù phổi, Xơ hóa phổi, Bệnh bụi phổi, Hội chứng suy hô hấp, Bệnh u hạt (Sarcoidosis), Hen phế quản ...
- Giúp long đờm, giảm ho, giảm khó thở, giúp hô hấp dễ dàng hơn
- Hỗ trợ giải độc phổi do ô nhiễm không khí, bụi, khói các hóa chất độc hại từ môi trường..
- Tăng cường miễn dịch, chống oxy hóa, bảo vệ gốc tự do cơ thể
- Phòng chống giảm nguy cơ ung thư phổi, giúp bảo vệ phổi, phục hồi tế bào phổi bị tổn thương, hỗ trợ điều trị các bệnh lý về phổi như Viêm phổi, Viêm phế quản, Bệnh phổi tắc nghẽn mạn tính (COPD), Viêm màng phổi (viêm phế mạc), Thuyên tắc phổi, Phù phổi, Xơ hóa phổi, Bệnh bụi phổi, Hội chứng suy hô hấp, Bệnh u hạt (Sarcoidosis), Hen phế quản ...
- Giúp long đờm, giảm ho, giảm khó thở, giúp hô hấp dễ dàng hơn
- Hỗ trợ giải độc phổi do ô nhiễm không khí, bụi, khói các hóa chất độc hại từ môi trường..
Hotline tư vấn: 0962 876 060 - 0968 805 353 - 0978 307 072
Nguồn: Bncmedipharm.vn, bachhoaxanh.vn, medlatec.vn ...

