-
-
-
Tổng tiền thanh toán:
-
Ung thư di căn não: Khi nào cần đến gặp bác sĩ?
Đăng bởi: My Hoàng
10/09/2022
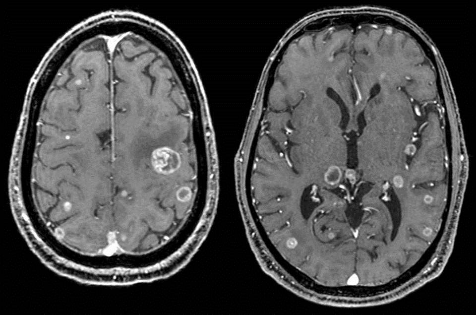
Ung thư di căn não xảy ra khi các tế bào ung thư từ một vị trí khác trên cơ thể xâm lấn đến não. Ung thư có thể di căn hoặc lan rộng đến một hoặc nhiều vị trí trong não. Nó cũng có thể lan đến dịch não tủy hoặc đến màng não, màng ngoài của não và tủy sống. Vậy ung thư di căn não khi nào cần đến gặp bác sĩ? Dưới đây là một số triệu chứng cảnh báo bạn nên đi gặp bác sĩ ngay.

I. Khi nào cần đến gặp bác sĩ?
Hãy thăm khám với bác sĩ nếu bạn có các dấu hiệu và triệu chứng dai dẳng khiến bạn lo lắng. Nếu bạn đã từng điều trị ung thư trong quá khứ, hãy cho bác sĩ biết về tiền sử bệnh. Những dấu hiệu và triệu chứng ung thư di căn não
Các dấu hiệu ung thư di căn não có thể khác nhau dựa trên vị trí, kích thước, số lượng và tốc độ phát triển của các khối u.
II. Biểu hiện ung thư di căn não phổ biến
Hãy thăm khám với bác sĩ nếu bạn có các dấu hiệu và triệu chứng dai dẳng khiến bạn lo lắng. Nếu bạn đã từng điều trị ung thư trong quá khứ, hãy cho bác sĩ biết về tiền sử bệnh. Những dấu hiệu và triệu chứng ung thư di căn não
Các dấu hiệu ung thư di căn não có thể khác nhau dựa trên vị trí, kích thước, số lượng và tốc độ phát triển của các khối u.
II. Biểu hiện ung thư di căn não phổ biến
- Đau đầu, đôi khi kèm theo nôn hoặc buồn nôn
- Thay đổi hành vi, tính cách và tâm trạng
- Những thay đổi về nhận thức, chẳng hạn như các vấn đề về trí nhớ, mất trí nhớ
- Những thay đổi trong các giác quan do não kiểm soát như khó nói, nói lắp, mờ mắt, mất thăng bằng, chóng mặt
- Co giật
- Yếu hoặc tê ở một bên của cơ thể.
III. Nguyên nhân của ung thư di căn não là gì?
Ung thư di căn não xảy ra khi các tế bào ung thư rời khỏi vị trí ban đầu, tiếp tục di chuyển qua máu hoặc hệ thống bạch huyết và di căn đến não. Tại đây, chúng bắt đầu phát triển và phân chia một cách bất thường.
Các yếu tố nguy cơ
Bất kỳ loại ung thư nào cũng có thể di căn đến não, nhưng một số loại ung thư có nhiều khả năng di căn hơn, bao gồm:
- Ung thư phổi (phổ biến nhất)
- Ung thư vú (khoảng 10 – 15% những người bị ung thư vú giai đoạn IV bị di căn não)
- Ung thư ruột kết (ung thư đại tràng hay ung thư ruột già)
- Ung thư biểu mô tế bào thận
- Ung thư hắc tố (u ác tính).
IV. Ung thư di căn não có nguy hiểm không?
Các biến chứng có thể xảy ra bao gồm:
Các biến chứng có thể xảy ra bao gồm:
- Thoát vị não
- Co giật
- Não úng thủy
- Lây lan sang các mô xung quanh
- Suy giảm chức năng thần kinh
- Tử vong
V. Những phương pháp điều trị ung thư di căn não
- Mục đích của việc điều trị là giúp giảm bớt các triệu chứng do ung thư gây ra, làm chậm sự phát triển của khối u và kéo dài sự sống cho bệnh nhân.
- Các lựa chọn điều trị có thể bao gồm dùng thuốc giảm nhẹ triệu chứng, phẫu thuật, xạ trị, hóa trị, liệu pháp miễn dịch, thuốc điều trị nhắm mục tiêu hoặc kết hợp các phương pháp điều trị này.
- Phương pháp điều trị được chỉ định sẽ phụ thuộc vào loại khối u nguyên phát, kích thước, số lượng và vị trí của các khối u di căn, các triệu chứng đang gặp phải và tình trạng sức khỏe tổng thể của bệnh nhân.
VI. Ung thư di căn lên não sống được bao lâu?
Di căn não là một tình trạng nguy hiểm nên nhiều người thường lo sợ và thắc mắc rằng ung thư di căn lên não sống được bao lâu? Tiên lượng cho bệnh nhân phụ thuộc vào một số yếu tố bao gồm:
- Phương pháp điều trị được chỉ định sẽ phụ thuộc vào loại khối u nguyên phát, kích thước, số lượng và vị trí của các khối u di căn, các triệu chứng đang gặp phải và tình trạng sức khỏe tổng thể của bệnh nhân.
VI. Ung thư di căn lên não sống được bao lâu?
Di căn não là một tình trạng nguy hiểm nên nhiều người thường lo sợ và thắc mắc rằng ung thư di căn lên não sống được bao lâu? Tiên lượng cho bệnh nhân phụ thuộc vào một số yếu tố bao gồm:
- Tuổi tác của bệnh nhân
- Số lượng và kích thước của khối u não di căn
- Vị trí của khối u nguyên phát
- Các vị trí di căn khác
- Khả năng đáp ứng với các phương pháp điều trị.
Theo thống kê, tiên lượng sống trung bình của những bệnh nhân ung thư di căn não thường là dưới 6 tháng. Tuy nhiên, khoảng 8,3% bệnh nhân có thể sống thêm 1 năm và 1,4% sống thêm được 2 năm sau chẩn đoán. Điều trị bằng phương pháp xạ trị toàn bộ não có thể giúp tăng thời gian sống cho bệnh nhân lên đến 11 tháng.
VII. Các phương pháp điều trị phổ biến
1. Một số phương pháp điều trị phổ biến được chỉ định để giúp kiểm soát khối u di căn não bao gồm:
VII. Các phương pháp điều trị phổ biến
1. Một số phương pháp điều trị phổ biến được chỉ định để giúp kiểm soát khối u di căn não bao gồm:
-
Hóa trị. Hóa trị là phương pháp sử dụng thuốc để tiêu diệt các tế bào ung thư. Trong một số trường hợp, các loại thuốc hóa trị không thể vượt qua hàng rào máu não. Chúng di chuyển qua máu, nhưng rất khó đi vào hàng rào máu não. Tuy nhiên, một số trường hợp ngoại lệ, di căn não từ các loại khối u nguyên phát như ung thư tinh hoàn, u lympho và ung thư phổi tế bào nhỏ có thể đáp ứng với hóa trị.
-
Thuốc điều trị nhắm mục tiêu. Thuốc nhắm mục tiêu tập trung vào các bất thường cụ thể hiện diện trong các tế bào ung thư. Bằng cách ngăn chặn những bất thường này, thuốc nhắm mục tiêu có thể khiến tế bào ung thư chết. Một số liệu pháp nhắm mục tiêu được sử dụng trong điều trị di căn não bao gồm: lapatinib, erlotinib, gefitinib và vemurafenib.
-
Liệu pháp miễn dịch. Liệu pháp miễn dịch sử dụng hệ thống miễn dịch của chính cơ thể để chống lại tế bào ung thư. Ipilimumab, nivolumab và pembrolizumab là các loại thuốc trị liệu miễn dịch thường được sử dụng.
2. Dùng thuốc giảm nhẹ triệu chứng
Các loại thuốc sau đây có thể được chỉ định cho bệnh nhân để giúp kiểm soát triệu chứng:
-
Thuốc steroid. Corticosteroid (dexamethasone, prednisone) liều cao có thể được chỉ định để giảm sưng xung quanh não do khối u di căn, đồng thời làm giảm nhẹ các dấu hiệu và triệu chứng đang gặp phải. Một số trường hợp giảm nhẹ các triệu chứng ngay sau khi bắt đầu dùng steroid. Tuy nhiên, điều này không có nghĩa là khối u di căn não đã biến mất.
-
Thuốc chống động kinh. Nếu bệnh nhân bị co giật, bác sĩ có thể đề nghị dùng thuốc để ngăn ngừa các cơn co giật trong tương lai.
3. Phẫu thuật
- Phẫu thuật sẽ được chỉ định trong trường hợp khối u di căn nằm ở những nơi có thể tiếp cận được để phẫu thuật. Bác sĩ phẫu thuật sẽ cố gắng loại bỏ càng nhiều ung thư càng tốt. Ngay cả khi loại bỏ một phần khối u cũng có thể giúp giảm các dấu hiệu của bệnh.
- Phẫu thuật có thể gây ra một số biến chứng, chẳng hạn như suy giảm chức năng thần kinh, nhiễm trùng và chảy máu. Các rủi ro khác có thể phụ thuộc vào phần não có chứa khối u.
4. Xạ trị
Xạ trị là phương pháp sử dụng chùm tia năng lượng cao, chẳng hạn như tia X và proton, để tiêu diệt các tế bào khối u. Đối với ung thư di căn não, xạ trị có thể bao gồm:
- Phẫu thuật sẽ được chỉ định trong trường hợp khối u di căn nằm ở những nơi có thể tiếp cận được để phẫu thuật. Bác sĩ phẫu thuật sẽ cố gắng loại bỏ càng nhiều ung thư càng tốt. Ngay cả khi loại bỏ một phần khối u cũng có thể giúp giảm các dấu hiệu của bệnh.
- Phẫu thuật có thể gây ra một số biến chứng, chẳng hạn như suy giảm chức năng thần kinh, nhiễm trùng và chảy máu. Các rủi ro khác có thể phụ thuộc vào phần não có chứa khối u.
4. Xạ trị
Xạ trị là phương pháp sử dụng chùm tia năng lượng cao, chẳng hạn như tia X và proton, để tiêu diệt các tế bào khối u. Đối với ung thư di căn não, xạ trị có thể bao gồm:
-
Xạ trị toàn bộ não. Những bệnh nhân được chỉ định xạ trị toàn bộ não thường cần 10 đến 15 lần điều trị trong từ 2 – 3 tuần. Các tác dụng phụ có thể bao gồm mệt mỏi, buồn nôn, rụng tóc và suy giảm nhận thức.
-
Phẫu thuật phóng xạ lập thể (SRS). SRS thường được tiêm một liều duy nhất hoặc tối đa năm liều. Bác sĩ có thể điều trị nhiều khối u trong cùng một lần SRS. Các tác dụng phụ có thể bao gồm buồn nôn, nhức đầu, co giật, chóng mặt hoặc hoa mắt. Nguy cơ suy giảm nhận thức lâu dài sau khi SRS được cho là ít hơn so với xạ trị toàn não.
Giải pháp cho người ung thư: Bi-Nutafit tăng cường hệ miễn dịch và sức khỏe toàn diện
Bi-Nutafit® là công thức đặc biệt chăm sóc sức khỏe toàn diện cho mọi đối tượng, nâng cao chất lượng cuộc sống. Là sản phẩm bảo vệ sức khoẻ cung cấp cho cơ thể những chất bổ dưỡng albumin, đạm, protein, các axit amin thiết yếu để nâng cao sức đề kháng và sự cường tráng của cơ thể, giúp sửa chữa và bảo vệ các mô, tế bào bị tổn thương do các tác nhân gây bệnh.

Công dụng của Bi-Nutafit®:
- Bi-Nutafit bổ sung albumin, protein và các a xít amin thiết yếu cho cơ thể.
- Suy nhược cơ thể, suy nhược thần kinh, mất ngủ, stress..
- Sốt xuất huyết; chấn thương, hội chứng nhiễm trùng; nhiễm độc; viêm tuỵ...
- Trị liệu bỏng, nhanh liền sẹo, giúp làm mờ và giảm vết thâm nám trên da
- Chạy thận nhân tạo, suy thận cấp, mãn, hội chứng thận hư,
- Nâng cao sức đề kháng, bồi bổ sau phẫu thuật tim, phổi, phụ nữ sau sinh
- Sửa chữa tổn thương cấp độ DNA, tế bào; khử gốc tự do
- Hỗ trợ điều trị cho người viêm gan vius, xơ gan, suy gan, gan nhiễm mỡ...
- Tăng cường sức đề kháng cho người thiếu máu, người mỏi mệt, ung thư máu.
- Tăng cường MD sau mổ, xạ trị, phòng và hỗ trợ điều trị các loại ung thư
- Tăng khả năng hấp thụ canxi, giúp xương chắc khỏe
- Chống lão hóa, nâng cao chất lượng cuộc sống; tăng cường tuổi thọ.
Hotline tư vấn: 0962 876 060 - 0968 805 353 - 0978 307 072
____________________
Có thể bạn quan tâm
>>> Người đang hóa trị, xạ trị cần lưu ý gì ở chế độ ăn?
>>> Suy giảm nhận thức sau hóa trị ung thư kéo dài bao lâu? Đọc ngay để biết
>>> Mỗi đợt hóa trị ung thư kéo dài bao lâu? Có đau không?
